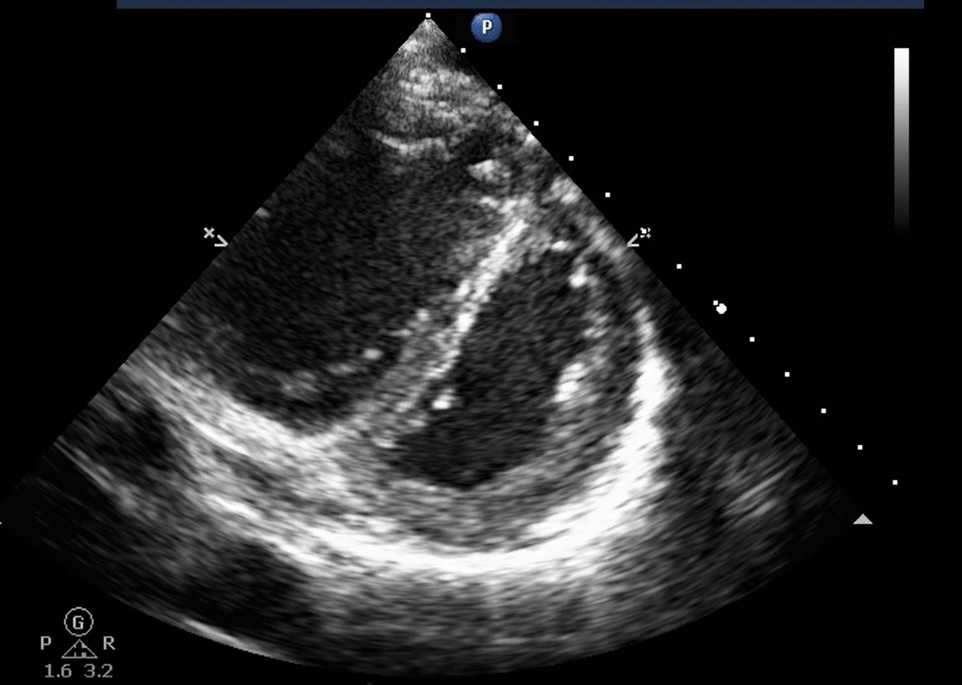
Figure 1 Published May 18, 2020 at 1978 × 1408 in Do It With Heart: Pre-Intubation Point-of-Care Echocardiography for Hemodynamic Optimization Figure 1. D-sign. Interventricular septum is flattened during diastole and forms D-shaped left ventricle.